Các Case
study

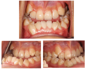
Tình trạng xương hàm:

  • Hàm trên móm lùi, môi trên nhô ra trước
  • Hàm dưới quá phát nhô ra trước
  • Mặt dài

 

Tình trạng khớp cắn và scan bằng máy Itero 5D

  • Khớp cắn ngược 
  • Răng chen chúc, hàm trên hẹp
  • Răng cửa trên chìa ra trước, răng cửa dưới cụp vào.

 

Phương pháp phẫu thuật:

  • Đẩy lùi hàm trên ra sau (giảm hô)
  • Đẩy hàm dưới ra trước (chữa cằm lùi)

 

 

 

 

 

 

 

 

Những nụ cười tự tin

after
before
after
before
after
before
after
before
after
before
after
before
after
before
after
before
after
before

Videos

SỨ MỆNH VÀ TẦM NHÌN A.M PROCARE
Chuẩn quốc tế – Không đau – Chính xác cao
Học đánh răng đúng cách cùng bác sĩ
A.M Procare
Hành trình đánh thức nụ cười của hơn 1000 khách hàng
DỊCH VỤ NỔI BẬT TẠI NHA KHOA A.M PROCARE
Trồng răng Implant
Ngủ ngáy to, mệt mỏi kéo dài?
Nắn chỉnh răng kết hợp phẫu thuật hàm – Giải pháp cho cằm lẹm, hô móm, lệch mặt hiệu quả!
Cập nhật các phương pháp điều trị hiện đại giúp nâng tầm nụ cười
Răng sứ Veneer – Bí quyết nụ cười rạng rỡ tự nhiên | A.M Procare
Nha khoa uy tín tại Hà Nội A.M Procare, Chuyên gia niềng răng, Implant, Veneer, chăm sóc toàn diện
Đội ngũ bác sĩ giỏi tại Hà Nội, Nha khoa A.M Procare, Tốt nghiệp ĐH Y Hà Nội, hơn 15 năm kinh nghiệm
Cấy ghép Implant phức tạp tại Hà Nội | Giải pháp cho mất răng lâu năm, tiêu xương, toàn hàm

Khách hàng nói gì về chúng tôi?

Đặt lịch hẹn

Contact Form
Lên đầu trang